Bösch SA Ortopedia


Vai ai contenuti

Menu principale:


Alluce valgo

Ortesi del piede > Ortesi del Piede

Alluce valgo

Alluce valgo

- Da scarpe troppo strette
- Quasi sempre bilaterale
- Limitazione del movimento della base dell'alluce
- Osteofite mediale, con borsite e spesso con infiammazione cronica
- Posizione secondaria in valgo delle dita II e III, in casi seri l'alluce si posiziona sotto il dito II, rare volte sopra
- Dolori soggettivi non proporzionali al valgo

Terapia conservativa
- Scarico retrocapitale tramite plantare
- Scarpe con abbastanza volume nell'avampiede
- Scarico dell'estorsi tramite allargamento specifico della scarpa
- Rampa di rotolamento con irrigidimento di tutta la suola per fissare le articolazioni
- La stecca notturna non funziona, serve solo come fissazione postoperatoria

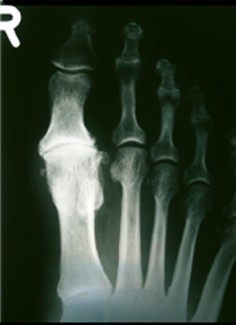
Radiografia di alluce rigido

Plantare con base in carbonio

Alluce ridido

- Artrosi deformante
- Riduzione della cartilagine
- Diminuzione della flessione dorsale
- Sovraccarico funzionale dell'alluce

Terapia conservativa
- Terapia per l'artrosi
- Movimenti passivi di flessione dorsale
- Plantare con rinforzo in carbonio sotto l'alluce
- Rampa di rotolamento per alluce rigido sotto la scarpa

Barra di rotolamento per alluce rigido


Webmaster: www.internet-designer.ch | contact@internet-designer.ch

Torna ai contenuti | Torna al menu